
Dental Implants
Dental implants
Restore Your Smile with Dental Implants
Treatment with dental implants has provided patients with a proven option to replace missing teeth for many years. Developments in the materials and techniques used have now made them the gold-standard for tooth replacement, and they avoid many risks and disadvantages of alternatives such as bridges and dentures.
Who places the implants at Bax Dental?
Our implant team consists of two dentists Craig Jack and Gavin McManus. They have known each other since they were clinical partners at Manchester Dental School. Along side the Bax Dental support team they can offer you a comprehensive service, from a single tooth replacement to full mouth rehabilitation.

Dr Craig Jack, Dental Implant Specialist
Craig Jack was awarded a Masters Degree in Prosthodontics in 2010 and is actively involved in the teaching of postgraduate students as well as lecturing across the North West. His experience should allow you the best possible outcome for your smile.
Craig will be providing your treatment plan and restoring your smile once the implants have been placed and had time to settle. He can also provide treatment to complete your smile where we have been able to maintain your natural dentition, or provide a treatment plan for your dentist to complete your case.

Dr Gavin McManus, Implant Surgeon
Gavin McManus undertook training in implant dentistry with the Centre for Advanced Dental Education and extended his skills by successfully completing the gold standard of implant diplomas with the Faculty of General Dental Practitioners and the Royal College of Surgeons. He has recently co-authored a journal article on implant dentistry for the British Dental Journal. His practice is now limited to Oral surgery and Implant dentistry.
Gavin will be expertly placing dental implants and providing the surgical side of your treatment, to ensure sound foundations on which your smile will be restored. He is able to offer sedation for nervous patients if needed.
Dental implants FAQs
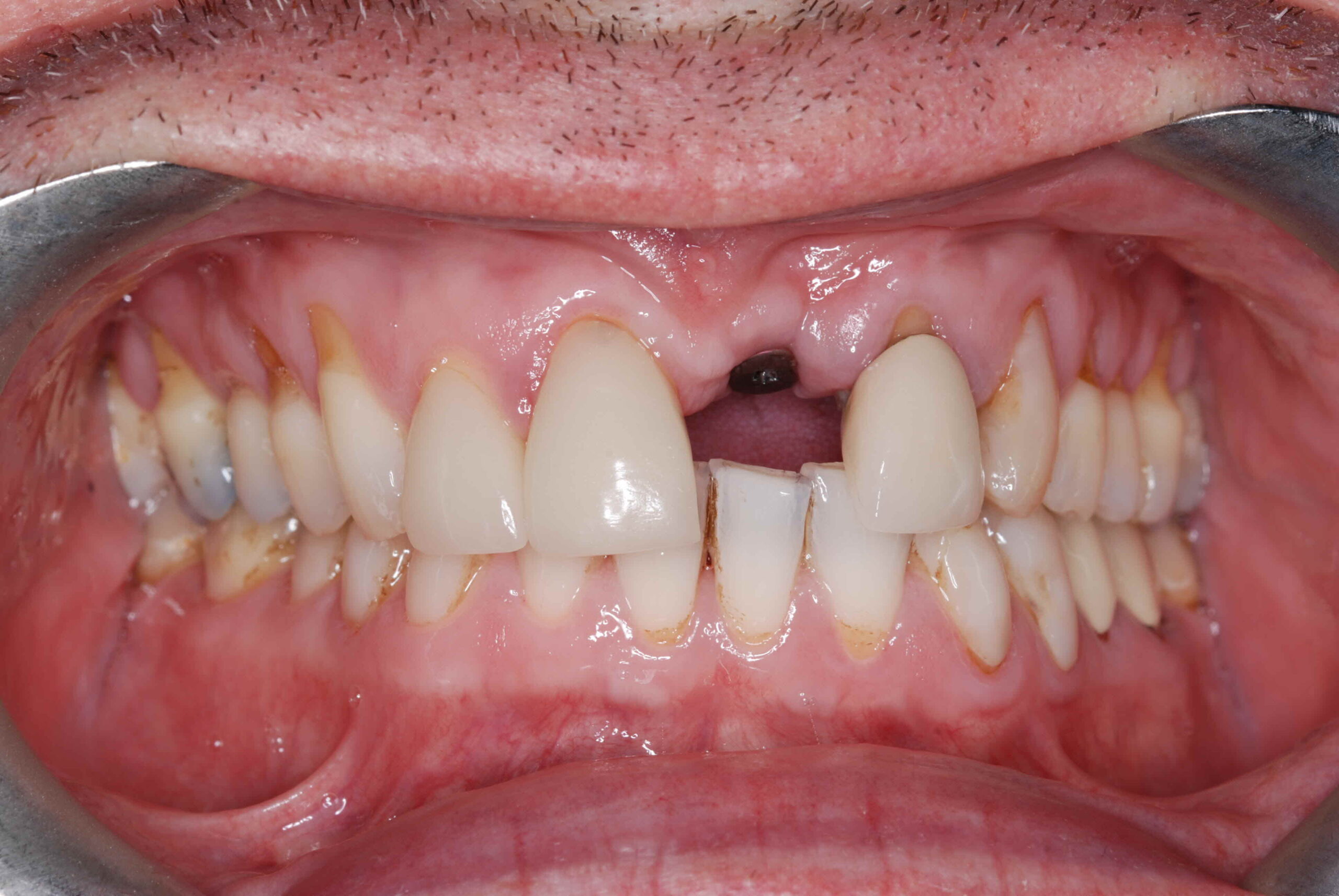
What are Dental Implants?
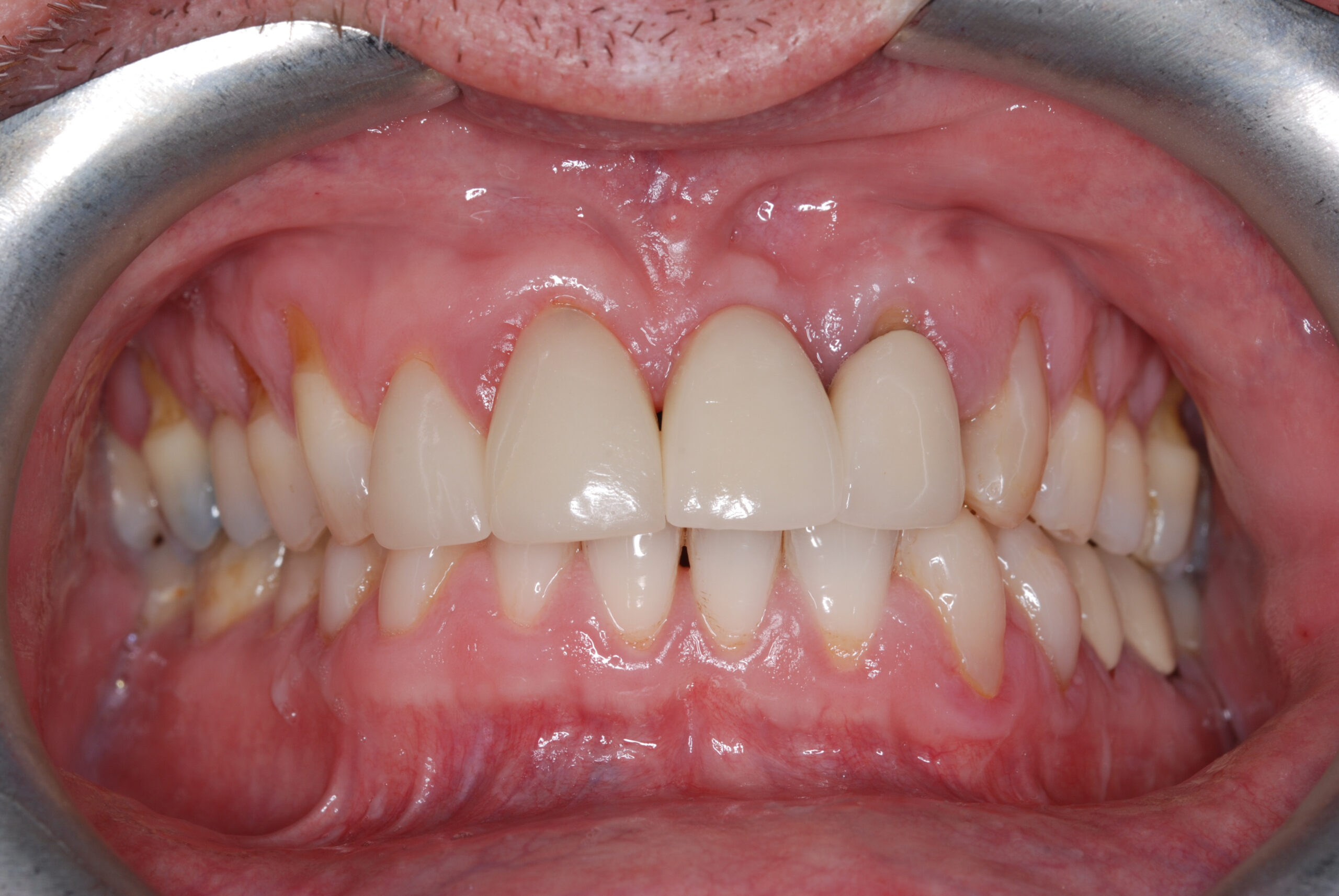
A dental implant is made from titanium and resembles a small screw. Once placed, the surface of the implant interacts with the surrounding bone to form a strong bond and a natural looking artificial tooth (the crown) can then be connected to the implant.

When can Dental Implants be used?
Losing a tooth often leads to there being a visible gap between the other teeth which can be unsightly and upsetting. Conventional dentistry such as dental bridges involves drilling into adjacent teeth that may be perfectly healthy. Implants avoid the need to drill into any other teeth, and therefore avoid possible complications such as infection, fracture, and ultimately the loss of these teeth.
Dental implants can be used to replace a single missing tooth, multiple teeth, or all teeth.
In patients who have no natural teeth left, dental implants can be particularly useful to provide extra anchorage for removable dentures. This can be of great benefit when there is not much natural bone remaining for a denture to “grip”, causing looseness, discomfort, and difficulty eating.
Treatment needs to be planned carefully however, and factors such as bone quality and quantity, tooth and jaw relationships, and general medical health may affect suitability for certain treatments.
How long does treatment take to complete?
Treatment consists of three phases – planning, surgical, and restorative. The surgical phase consists of a minor procedure to place to implant and often requires the use of a small amount of bone grafting if there is insufficient natural bone. After the implant has integrated with the bone, the new artificial teeth will be designed and constructed to fit over the implants.
Depending on the complexity of the case it may take between five and twelve months to complete treatment.
Do I need to be referred?
We are taking referrals from local dentists through to self-referrals from patients. Once treatment is complete your dentist will be provided with full details on treatment completed and future maintenance requirements.
Want to refer a patient to Bax Dental?
Make an enquiry

Start your journey
Speak to us about dental implants today




