
Tooth Whitening
Tooth Whitening at Bax Dental
For a brighter, whiter smile
Boutique tooth whitening uses a high-strength formula that is safe, easy to use, and promises stunning results within two to three weeks.

At Bax Dental, we use high-quality, clinically approved products to ensure both safety and effectiveness.
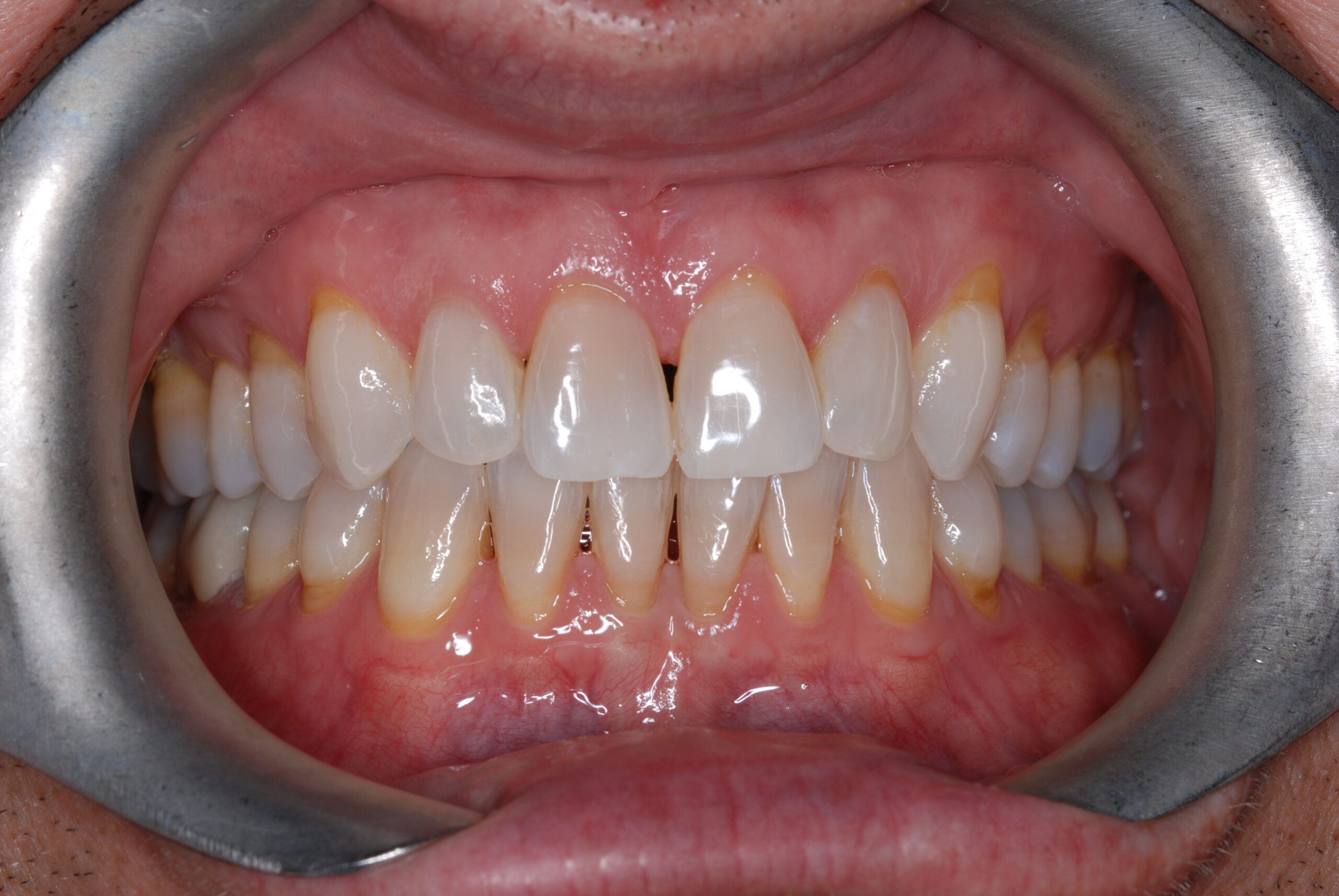
Tooth Whitening – Before and after
Tooth Whitening FAQs
How does it work?
After your dental examination, we’ll take a digital scan of your teeth using state-of-the-art technology. This allows our dental laboratory to create custom-fitted whitening trays tailored specifically for you.
Simply apply the whitening gel to your trays and wear them daily or overnight for 2 to 3 weeks to achieve a brighter, whiter smile.
Is tooth whitening safe?
Yes. When carried out under the supervision of a dental professional, tooth whitening is completely safe. At Bax Dental, we use high-quality, clinically approved products to ensure both safety and effectiveness.
How long do the results last?
Results typically last 6 to 12 months, depending on your lifestyle and oral hygiene habits. Avoiding staining foods and drinks (like coffee, red wine, and smoking) can help maintain your new smile longer.
Will it make my teeth sensitive?
Some people may experience temporary sensitivity during treatment. This usually subsides shortly after completing the course. We can advise on sensitivity management if needed.
Can everyone have tooth whitening?
Tooth whitening is suitable for most adults, but it’s important to have a dental examination first to ensure your teeth and gums are healthy. Whitening is not effective on crowns, veneers, or fillings.
Can I whiten my teeth if I have fillings or crowns?
Whitening will only work on natural teeth. Any existing dental work such as crowns or fillings will remain the same shade and may need replacing after treatment for a uniform appearance.
Make an enquiry

Start your journey
Speak to us about invisalign today


